2024 ISMRM Conference
April 28th 2024
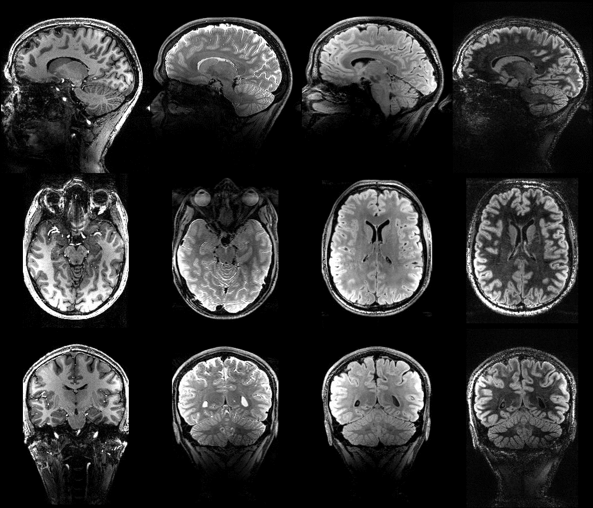
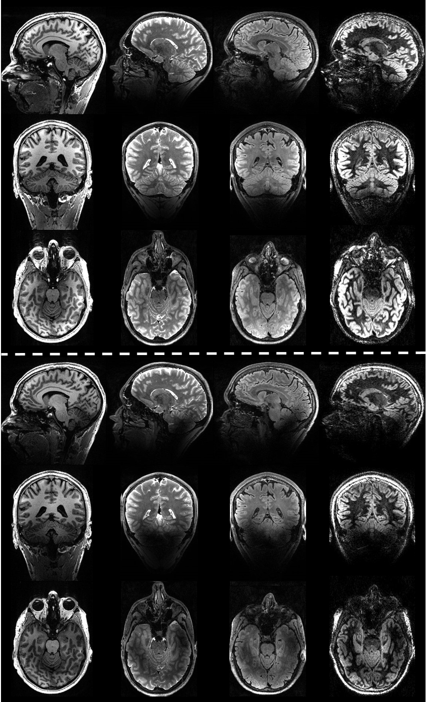
- Pushing the image quality by integrating FatNav and pTx Universal Pulses in MPRAGE and MP2RAGE sequences at 7T:
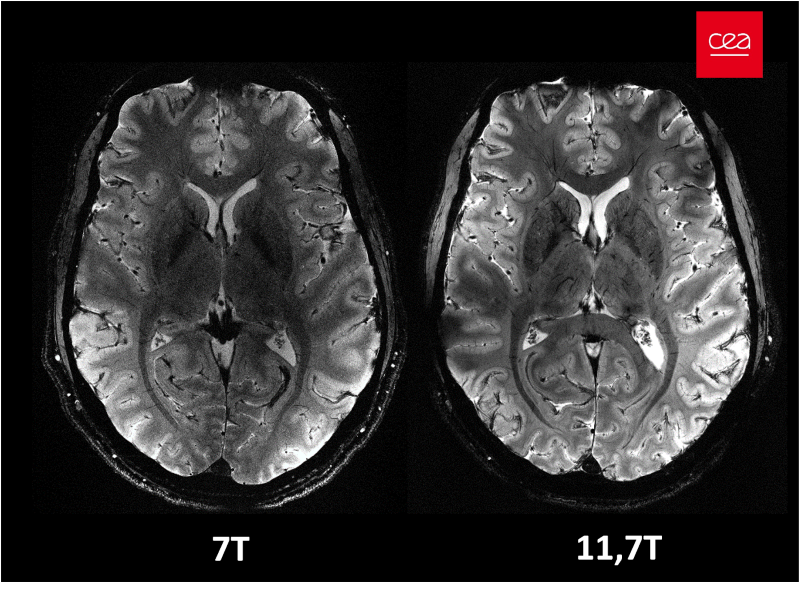
Abstract #4895. - Opening new horizons with the first human brain in vivo experiments at 11.7T:
Abstract #523.
February 28th 2024
MP2RAGE acquisition from the PASTEUR package can now use FatNav module to mitigate motion during reconstruction:
ISMRM Conference
March 15th 2022
This year, I will deliver an oral presentation and a poster presentation at ISMRM on the following subjects:
- MetaPulse2D: methodology to enable universal slice specific spokes pulses in parallel transmission:
Abstract #454. - Traveling pulses visit 7T Terra sites: Getting ready for Parallel Transmission in routine use:
Abstract #2091.
Release of VE12U PASTeUR package
October 23th 2021
We are very proud to release the new version of our PASTeUR package for Magnetom Terra systems. Our goal is to bring calibration free parallel transmission solutions with homogeneous excitation throughout the brain using the Nova 8Tx/32Rx coil. We are willing to share the package with other clinical research laboratories and evaluate the potential benefit for the clinic.
At the moment, the package contains a set of 3D non selective sequences. However, we are working on expanding it with slab selective 3D acquisitions as well as 2D sequences.
ISMRM Virutal Conference
July 24th 2020
Please find below, my ISMRM virtual presentations as pdf files:
- Fully automated fBIRN-like stability assessment: follow-up and case report at 7T:
Abstract #4005. - PASTeUR package extension with MP2RAGE for robust T1 mapping technique in parallel transmit at 7T: Abstract #3709.
ISMRM 2020 in Sydney
March 4th 2020
I will be presenting two posters in Sydney :
- The first one is about our weekly Quality Assurance performed on our 7T scanner.
- The second one is about the development of an a MP2RAGE sequence with pTx universal pulses.
Iseult Magnet reaching 11.7T
July 18th 2019
Thanks to the IRFU team at CEA, the Iseult magnet reached its nominal magnetic field for the first time : 11.7Tesla.
MR Methodological developments at NeuroSpin
As a research engineer at NeuroSpin, I'm part of a MR Methodological team that develops advanced techniques for ultra-high field MR imaging. Our ultimate goal is to bring solutions to our end users, i.e. the clinicians and the neuroscientists.
Research interests
- Parallel transmission at 7T : We developped a package of 3D anatomical sequences that integrate the so-called Universal Pulses to bring pTx closer to the clinic. These sequences do not need calibration scans nor pulse design pre-processing and manage to homogenize the signal throughout the brain. Sequences available within this package are : 3D-GRE, MPRAGE, MP2RAGE, T2w-SPACE, FLAIR, DIR. This package is available for classic Siemens 7T (VB17 software) as well as for Terra systems on C2P request.
More info (github) : C2P for PASTEUR package
Platform tools
- QA
We developped an online tool to follow the system performance and the stability of the transmission and reception using product or custom coils.
More info (github) : C2P for QA package
2026
Articles
Calibration-free GRAPE pTx pulses for homogeneous spatial-selective excitation at 7T
Magn Reson Med. 2026. doi: 10.1002/mrm.70266.
2025
Articles
On the Impact of Artifacts Induced by Mismatches Between Auto-Calibration Signal and Accelerated 3D GRE Data at 11.7T
Magn Reson Med. 2025. doi: 10.1002/mrm.70127.
Cerebrovascular Autoregulation in Hypoxia: Quantitative Insights from Arterial Spin Labeling
Front Neurosci. 2025. doi: 10.3389/fnins.2025.1672726.
pTx-Pulseq in hybrid sequences: Accessible & advanced hybrid open-source MRI sequences on Philips scanners
Magn Reson Med. 2025. doi: 10.1002/mrm.30601.
Hypoxia’s Impact on Hippocampal Functional Connectivity: Insights from Resting-State fMRI Studies
Brain Sci. 2025. doi: 10.3390/brainsci15060643.
Does Freediving Lead to Hippocampal Adaptability to Hypoxia and Maintenance of Episodic Memory?
J. Integr. Neurosci. 2025. doi: 10.31083/JIN36672.
Feasibility of Implementing Motion-Compensated Magnetic Resonance Imaging Reconstruction on Graphics Processing Units Using Compute Unified Device Architecture
Applied Sciences. doi: 10.3390/app15115840.
MR Passive Elastography: From Seismic Noise Tomography to Brain Tumors Characterization
J Magn Reson Imaging. 2025. doi: 10.1002/jmri.70072.
Unifying Seismic Noise Tomography and MRI for Brain Tumors Diagnosis
Available at SSRN. doi: 10.2139/ssrn.5211117.
Parallel transmit 7T MRI for adult epilepsy pre-surgical evaluation
Epilepsia 2025. doi: 10.1111/epi.18353.
Parallel transmit improves 7T MRI adult epilepsy pre-surgical evaluation
medRxiv 2024. doi: 10.1101/2024.10.28.24316232.
500 MHz Inductive Birdcage RF Coil for Brain MRI: Design, Implementation and Validation
IEEE TBME 2025. doi: 10.1109/TBME.2025.3529725.
Conference proceedings
Open-source diffusion-weighted bSSFP MRI pulse sequences to study the post-mortem brain using the GinkgoSequence development framework.
Proceedings of the ESMRMB 2025, Marseilles, p47562.
General reconstruction of parallel-transmit array B1+ profiles with enhanced noise robustness.
Proceedings of the ESMRMB 2025, Marseilles, p47604.
Spatial-spectral parallel transmission RF pulses design for adiabatic spin inversion.
Proceedings of the ESMRMB 2025, Marseilles, p47639.
Quantitative 7Li MRI in patients with bipolar disorder initiating lithium treatment: a first look at the European R-LiNK multicentric dataset using a region-based approach.
Proceedings of the ESMRMB 2025, Marseilles, p46849.
In vivo R2* and Quantitative Susceptibility Mapping on the 11.7T whole-body Iseult MRI System using Universal Pulses Transmission and Virtual Coil Reconstruction.
Proceedings of the ESMRMB 2025, Marseilles, p47634.
Feasibility of Implementing the Generalized Reconstruction by Inversion of Coupled Systems Method on GPUs Using CUDA
Proceedings of the EMBC 2025, Copenhagen, p1471
CEST Perspectives For Human Brain Applications At 11.7 T
Proceedings of the ISMRM 2025, Honolulu, p2020.
Joint Design Of A 90° - 180° Spokes Pulse In PTX For 2D TSE Imaging At 11.7 Tesla
Proceedings of the ISMRM 2025, Honolulu, p4253.
Fast Gradient Ascent Pulse Engineering For Parallel Transmission Pulse Design In The Small And Large Tip Angle Regimes
Proceedings of the ISMRM 2025, Honolulu, p3439.
Phosphorylated Metabolite T1 Relaxation Times Measured In The Macaque Brain Using 31P MRS At 11.7T
Proceedings of the ISMRM 2025, Honolulu, p2936.
Metabolite T1 And T2 Relaxation Times In The Macaque Brain At 11.7T With Local B1+ Shimming
Proceedings of the ISMRM 2025, Honolulu, p605.
In Vivo R2* And QSM On The 11.7T Whole-Body Iseult MRI System Using Universal Pulses Transmission And Virtual Coil Reconstruction
Proceedings of the ISMRM 2025, Honolulu, p2762.
Universal Pulses Enable A One-Hour Clinical Neuroimaging Protocol At Submillimeter Resolution On The NextGen 7T
Proceedings of the ISMRM 2025, Honolulu, p145.
2024
Articles
In vivo imaging of the human brain with the Iseult 11.7-T MRI scanner
Nature Methods. 2024. doi: 10.1038/s41592-024-02472-7.
Design of calibration-free RF pulses for T2-weighted single-slab 3D turbo-spin-echo sequences at 7T utilizing parallel transmission
Magn Reson Med. 2024. doi: 10.1002/mrm.30212.
Power deposition in the He bath induced by the Z gradient coil in the 11.7T Iseult magnet: theory versus measurements
Superconductor Science and Technology. 2024. doi: 10.1088/1361-6668/ad4c12.
First in vivo images of the human brain revealed with the Iseult 11.7T MRI scanner
Nature Methods. 2024. doi: 10.1038/s41592-024-02472-7.
The possible influence of third order shim coils on gradient-magnet interactions: an inter-field and inter-site study.
Magn Reson Mater Phy. 2024. doi: 10.1007/s10334-023-01138-3.
Intra-scan RF power amplifier drift correction
Magn Reson Med. 2024. doi: 10.1002/mrm.30078.
Non-Cartesian 3D-SPARKLING vs Cartesian 3D-EPI encoding schemes for functional Magnetic Resonance Imaging at 7 Tesla
PLoS One. 2024. doi:10.1371/journal.pone.0299925.
Pushing MP2RAGE boundaries: ultimate time-efficient parameterization combined with exhaustive T1 synthetic contrasts.
Magn Reson Med. 2024. doi: 10.1002/mrm.29948.
Impact of B0 field imperfections correction on BOLD sensitivity in 3D-SPARKLING fMRI data
Magn Reson Med. 2024. doi: 10.1002/mrm.29943.
The restricted SAR protocol: A method to assess MRI coil prototypes in an unconditionally safe manner
Magn Reson Med. 2024. doi: 10.1002/mrm.29962.
Conference proceedings
Effect of gradient-magnet interactions on B0 and gradient field fidelity for the whole-body SC72 gradient coil.
Proceedings of the ESMRMB 2024, Barcelona, p0041.
Proof of the universal pulse concept for the compact 8Tx/32Rx AVANTI2 coil for brain imaging: first successful results
Proceedings of the ESMRMB 2024, Barcelona, p0383.
Efficient simultaneous optimization of K-space trajectories and parallel transmission RF waveforms using the parametric 'fastGRAPE' approach
Proceedings of the ESMRMB 2024, Barcelona, p0420.
Opening New Horizons With The First Human Brain In Vivo Experiments At 11.7T
Proceedings of the ISMRM 2024, Singapore, p0523.
Assessing The Effect Of Universal Pulses On EDGE-MP2RAGE At 7T
Proceedings of the ISMRM 2024, Singapore, p4989.
An 8-Channel Transmit Array In Combination With A 31-Channel Receive Array For Human Brain Imaging At 11.7T
Proceedings of the ISMRM 2024, Singapore, p1415.
Pushing The Image Quality By Integrating FatNav And PTx Universal Pulses In MPRAGE And MP2RAGE Sequences At 7T
Proceedings of the ISMRM 2024, Singapore, p4895.
Comparison At 7T Of The Impulse Head Gradient And Whole-Body SC72 Gradient Transfer Functions.
Proceedings of the ISMRM 2024, Singapore, p4073.
Pushing MP2RAGE Boundaries: Ultimate Time-Efficient Parameterization Combined With Exhaustive T1 Synthetic Contrasts.
Proceedings of the ISMRM 2024, Singapore, p3757.
First Experience Of PTX RF Pulse Design At 11.T MRI For Whole Brain Imaging In Vivo
Proceedings of the ISMRM 2024, Singapore, p3926.
3D MR Spirometry In Healthy Volunteers At 1.5 T Using A UTE Sequence With A Flexible K-Space Sampling Pattern
Proceedings of the ISMRM 2024, Singapore, p5009.
What Lies Beyond 7T On The Horizon
Proceedings of the ISMRM 2024, Singapore, p8896.
Measurements Of The Gradient-Induced Power Deposition In The He-Bath Of The Iseult 11.7T Magnet And Comparison With Theory
Proceedings of the ISMRM 2024, Singapore, p3938.
Impact Of Third Order Shim Coils On Gradient-Magnet Interactions And Gradient Waveform Fidelity
Proceedings of the ISMRM 2024, Singapore, p0906.
Motion-Compensated Reconstruction for brain MRI at 7T: Comparison of Rigid and Non-Rigid Motion Models
Medical image computing and computer-assisted intervention : MICCAI, 2024
2023
Articles
Commissioning of the Iseult CEA 11.7 T whole-body MRI: current status, gradient–magnet interaction tests and first imaging experience
Magn Reson Mater Phy. 2023 doi: 10.1007/s10334-023-01063-5.
Brainstem fMRI signaling of surprise across different types of deviant stimuli
Cell reports. 2023 doi: 10.1016/j.celrep.2023.113405.
Optimized interferometric encoding of presaturated TurboFLASH B1 mapping for parallel transmission MRI at 7T: Preliminary application for quantitative T1 mapping in the spinal cord
Magn Reson Med. 2023 doi: 10.1002/mrm.29708.
Electromagnetic and RF Pulse Design Simulation Based Optimisation of an Eight-Channel Loop Array for 11.7 T Brain Imaging
Magn Reson Med. 2023 doi: 10.1002/mrm.29654.
Efficient optimization of chemical exchange saturation transfer MRI at 7T using universal pulses and virtual observation points
Magn Reson Med. 2023 doi: 10.1002/mrm.29617.
Progress Toward Medical Use of the Iseult Whole Body 11.7 T MRI: First Images
IEEE Transactions on Applied Superconductivity. 2023. doi: 10.1109/TASC.2023.3244117.
Conference proceedings
Optimized Interferometric Encoding Of Presaturated TurboFLASH B1-Mapping For PTx At 7T MRI: Application To T1-Mapping In The Spinal Cord
Proceedings of the ISMRM 2023, Toronto, Canada, p4415.
A Diffusion-Weighted MRI Pulse Sequence Development Toolbox In The Open Source GinkgoSequence Framework
Proceedings of the ISMRM 2023, Toronto, Canada, p2403.
Universal Pulses For The Cervical Spinal Cord At 7T: A Feasibility Study
Proceedings of the ISMRM 2023, Toronto, Canada, p0199.
Optimized T1 And T2 Weighted Structural Imaging On Clinical 7 Tesla Systems Employing Single Channel GRAPE Universal Pulses
Proceedings of the ISMRM 2023, Toronto, Canada, p1417.
Design Of Calibration-Free RF Pulses For T2-Weighted Single-Slab 3D Turbo-Spin-Echo Sequences At 7T Utilizing Parallel Transmission
Proceedings of the ISMRM 2023, Toronto, Canada, p4072.
Preliminary SNR Comparison Between The 11.7T Iseult RF Coil And Its Twin Coil At 7T
Proceedings of the ISMRM 2023, Toronto, Canada, p4076.
Improved Visualization Of Whole-Brain Structures And Pathology At Ultra-High Field 7T MRI With Parallel Transmission Universal Pulses
Proceedings of the ISMRM 2023, Toronto, Canada, p4229.
PASTeUR Package Extension To Slab-Selective Excitations And 3D-EPI For Plug-And-Play Parallel Transmit At 7 Tesla
Proceedings of the ISMRM 2023, Toronto, Canada, p4592.
First QSM Of An Ex Vivo Human Brain On The Iseult 11.7T Whole-Body System Using Parallel Transmission And Virtual Coil Reconstruction
Proceedings of the ISMRM 2023, Toronto, Canada, p1424.
Impact Of B0 Field Imperfections Correction On BOLD Sensitivity In 3D-SPARKLING FMRI Data
Proceedings of the ISMRM 2023, Toronto, Canada, p2541.
First Neuroimaging Experience At 11.7 Tesla On The Anaesthetized Non-Human Primate.
Proceedings of the ISMRM 2023, Toronto, Canada, p3919.
A Machine-Learning Approach For Saturation-Prepared Turbo FLASH B1+ Maps Calibration
Proceedings of the ISMRM 2023, Toronto, Canada, p0953.
2022
Articles
Shim Coils Tailored for Correcting B0 Inhomogeneity in the Human Brain (SCOTCH): Design Methodology and 48-Channel Prototype Assessment in 7-Tesla MRI.
Neuroimage. 2022 Nov 1;261:119498. doi: 10.1016/j.neuroimage.2022.119498.
Brainstem fMRI signaling of surprise across different types of deviant stimuli
Preprint. doi: 10.1101/2022.07.25.501374.
Magnetic field strength dependent SNR gain at the center of a spherical phantom and up to 11.7T.
Magn Reson Med. 2022 Jul 18. doi: 10.1002/mrm.29391.
Standardised Universal Pulse: a fast RF calibration approach to improve flip angle accuracy in parallel transmission
Magn Reson Med. 2022 doi: 10.1002/mrm.29180. Open access : https://zenodo.org/record/5817486.
Evaluation of new MR invisible silicon carbide based dielectric pads for 7T MRI
Magn Reson Imaging. 2022 Apr 9:S0730-725X(22)00055-8. doi: 10.1016/j.mri.2022.04.002. Open access : https://hal.archives-ouvertes.fr/cea-03636946/.
Conference proceedings
3D-SPARKLING for functional MRI: A pilot study for retinotopic mapping at 7T
Proceedings of the OHBM 2022, Glasgow, UK, WTh931.
Ginkgo: a novel modular and and Open Source MRI pulse sequence development framework
Proceedings of the OHBM 2022, Glasgow, UK, WTh1001.
MetaPulse2D: Methodology To Enable Universal Slice Specific Spokes Pulses In Parallel Transmission
Proceedings of the ISMRM 2022, London, UK, p0454.
New Restricted SAR Mode Definition Based On A Thermal Conservative Model For Relaxed Unconditional Safe In Vivo Experiments
Proceedings of the ISMRM 2022, London, UK, p2550.
An Extended Version Of The Restricted SAR Protocol Allowing Safe In Vivo Testing Of RF Coils In An Unconditional And Flexible Way
Proceedings of the ISMRM 2022, London, UK, p2549.
Measuring RF Field-Induced Temperature Variations In Brain MRI Exams With Motion Compensated MRT And Field Monitoring.
Proceedings of the ISMRM 2022, London, UK, p0700.
CEST MRI At 7T Using An Optimized Parallel Transmission Saturation Scheme
Proceedings of the ISMRM 2022, London, UK, p2718.
Ginkgo: A Novel Modular And Open Source MRI Pulse Sequence Development Framework Dedicated To MRI Systems
Proceedings of the ISMRM 2022, London, UK, p2778.
Pitfalls Of Data-Driven TSNR Optimized Coil Combination For FMRI
Proceedings of the ISMRM 2022, London, UK, p1609.
Prospects Of Non-Cartesian 3D-SPARKLING Encoding For Functional MRI: A Preliminary Case Study For Retinotopic Mapping
Proceedings of the ISMRM 2022, London, UK, p2451.
High Resolution Postmortem Brain Imaging At 7 Tesla Using Parallel Transmission And A Simple Set-Up
Proceedings of the ISMRM 2022, London, UK, p1915.
B0 Field Distortions Monitoring And Correction For 3D Non-Cartesian FMRI Acquisitions Using A Field Camera: Application To 3D-SPARKLING At 7T
Proceedings of the ISMRM 2022, London, UK, p2360.
Calibration Of Saturation Prepared Turbo FLASH B1+ Maps By Actual Flip Angle Imaging At 7T.
Proceedings of the ISMRM 2022, London, UK, p2867.
Calibration-Free Parallel Transmission For Improved CSF Mobility Imaging At 7T
Proceedings of the ISMRM 2022, London, UK, p2872.
Evaluation Of 3D SPARKLING Readout For Sodium UTE MRI At Ultra-High Magnetic Field
Proceedings of the ISMRM 2022, London, UK, p1613.
Traveling Pulses Visit 7T Terra Sites: Getting Ready For Parallel Transmission In Routine Use
Proceedings of the ISMRM 2022, London, UK, p2091.
Progress On The Commissioning Of The Iseult 11.7T Whole-Body MRI: First Images
Proceedings of the ISMRM 2022, London, UK, p0382.
2021
Articles
Temporal SNR optimization through RF coil combination in fMRI: The more, the better?
PLoS One. 2021 Nov. doi: 10.1371/journal.pone.0259592.
Measuring radiofrequency field-induced temperature variations in brain MRI exams with motion compensated MR thermometry and field monitoring
Magn Reson Med. 2021 doi: 10.1002/mrm.29058. Open access : https://zenodo.org/record/5525811.
Hippocampal subfield volumes and memory discrimination in the developing brain
Hippocampus 2021 doi: 10.1002/hipo.23385.
Conference proceedings
Estimation of cortical creatine kinase activity by dynamic 31P brain MRI in healthy volunteers at 7T
Proceedings of the ESMRMB 2021, Online meeting, S2.O7.
Effect of wave-CAIPI parameters and reconstraction frameworks: LORAKS and SENSE
Proceedings of the ESMRMB 2021, Online meeting, S3.P9.
Reducing inter-subject variability and improving accuracy of Universal Pulses using standardized (universal) pulses
Proceedings of the ISMRM 2021, Online meeting, p3948.
Shim Coils Tailored for Correction of B Inhomogeneity in the Human Brain (SCOTCH) at Ultra High Field
Proceedings of the ISMRM 2021, Online meeting, p3107.
Radiofrequency heating measurement using MR thermometry and field monitoring: methodological considerations and first in vivo results.
Proceedings of the ISMRM 2021, Online meeting, p1255.
Multi-Centre patients receiving lithium treatment for bipolar disorder: Li-MRI optimization using a physiologically representative phantom
Proceedings of the ISMRM 2021, Online meeting, p1789.
2020
Articles
A statistical robust approach to design parallel transmit radiofrequency excitations in MRI.
Concepts in Magnetic Resonance Part A, Bridging Education and Research doi: 10.1155/2020/6018107.
Radiofrequency heating measurement using MR thermometry and field monitoring: methodological considerations and first in vivo results.
Magn Reson Med. 2020 doi: 10.1002/mrm.28501. Open access : https://hal.archives-ouvertes.fr/hal-02871130.
General gradient delay correction method in bipolar multi-spoke RF pulses using trim blips.
Magn Reson Med. 2020 doi: 10.1002/mrm.28478.
Universal non-selective excitation and refocusing pulses with improved robustness to off-resonance for Magnetic Resonance Imaging at 7 Tesla with parallel transmission.
Magn Reson Med. 2020 doi: 10.1002/mrm.28441.
Simultaneous proton density, T1 , T2 , and flip-angle mapping of the brain at 7 T using multiparametric 3D SSFP imaging and parallel-transmission universal pulses.
Magn Reson Med. 2020 Jul 3. doi: 10.1002/mrm.28391.
3D variable-density SPARKLING trajectories for high-resolution T2*-weighted magnetic resonance imaging.
NMR Biomed. 2020 Jul 1:e4349. doi: 10.1002/nbm.4349.
Accumulation of Lithium in the Hippocampus of Patients With Bipolar Disorder: A Lithium-7 Magnetic Resonance Imaging Study at 7 Tesla.
Biol Psychiatry. 2020 Mar 6:S0006-3223(20)31293-2. doi: 10.1016/j.biopsych.2020.02.1181.
Conference proceedings
Fully automated fBIRN-like stability assessment: follow-up and case report at 7T.
Proceedings of the ISMRM 2020, Sydney, Australia, p4005.
PASTeUR package extension with MP2RAGE for robust T1 mapping technique in parallel transmit at 7T.
Proceedings of the ISMRM 2020, Sydney, Australia, p3709.
Passive RF shimming for 7T head coil with hybridized meta-atom: In vivo investigation.
Proceedings of the ISMRM 2020, Sydney, Australia, p4093.
Sub-µs gradient delay correction in tilted slab-selective bipolar multi-spoke RF pulses using trim blips.
Proceedings of the ISMRM 2020, Sydney, Australia, p3701.
Time-optimized universal non-selective pulses for 7T MRI with parallel transmission.
Proceedings of the ISMRM 2020, Sydney, Australia, p609.
Compressed sensing accelerated susceptibility-weighted imaging at 3T with SPARKLING: looking for favorable parametrization.
Proceedings of the ISMRM 2020, Sydney, Australia, p3513.
In vivo performance evaluation of silicon carbide dielectric pads for 7T MRI.
Proceedings of the ISMRM 2020, Sydney, Australia, p1754.
2019
Articles
Comparison of SMS-EPI and 3D-EPI at 7T in an fMRI localizer study with matched spatiotemporal resolution and homogenized excitation profiles
PLoS One. 2019 Nov 21;14(11):e0225286. doi: 10.1371/journal.pone.0225286.
SmartPulse, a machine learning approach for calibration-free dynamic RF shimming: Preliminary study in a clinical environment
Magn Reson Med. 2019 Dec;82(6):2016-2031. doi: 10.1002/mrm.27870.
Time-of-flight angiography at 7T using TONE double spokes with parallel transmission
Magn Reson Imaging. 2019 Sep;61:104-115. doi: 10.1016/j.mri.2019.05.018.
SPARKLING: variable-density k-space filling curves for accelerated T(2) (*) -weighted MRI
Magn Reson Med. 2019 Jun;81(6):3643-3661. doi: 10.1002/mrm.27678.
Robust nonadiabatic T(2) preparation using universal parallel-transmit k(T) -point pulses for 3D FLAIR imaging at 7 T
Magn Reson Med. 2019 May;81(5):3202-3208. doi: 10.1002/mrm.27645. Open access : https://hal.archives-ouvertes.fr/hal-02103512.
Conference proceedings
PASTeUR: Package of Anatomical Sequences using parallel Transmission UniveRsal kT-point pulses.
Proceedings of the ISMRM 2019, Montréal, Canada, p4626.
SPARKLING: variable-density k-space filling curves for accelerated MRI
Proceedings of the ISMRM 2019, Montréal, Canada, p110.
3D SPARKLING for accelerated ex vivo T2*-weighted MRI with compressed sensing.
Proceedings of the ISMRM 2019, Montréal, Canada, p4573.
Fast and unconditionally safe in vivo MR head protocol for home-made coil prototype assessment at 7T.
Proceedings of the ESMRMB 2019, Rotterdam, Netherlands, L02.07.
Comparison of SMS-EPI versus 3D-EPI in an fMRI localizer study at HCP-style TRs and resolution with parallel transmission at 7T.
Proceedings of the ISMRM 2019, Montréal, Canada, p368.
Whole-brain 3D multi-parametric quantitative extraction at 7T using parallel transmission Universal Pulses.
Proceedings of the ISMRM 2019, Montréal, Canada, p315.
Whole-brain 23Na multi-parametric mapping at 7T.
Proceedings of the ISMRM 2019, Montréal, Canada, p2513.
SmartPulse, a Machine Learning Approach for Calibration-Free Dynamic RF Shimming in Body Imaging.
Proceedings of the ISMRM 2019, Montréal, Canada, p756.
Universal Pulses for MRI at 9.4 Tesla - a Feasibility Study.
2019 International Conference on Electromagnetics in Advanced Applications (ICEAA), pp. 1185–1188.
bSSFP vs SSFP acquisitions of 7Li MRI at 7T: Comparison of sensitivity and quantification accuracy.
Proceedings of the ISMRM 2019, Montréal, Canada, p490.
Enhancement of transmit and receive efficiencies with hybridized meta-atom in 7T head coil.
Proceedings of the ISMRM 2019, Montréal, Canada, p1491.
Investigation of cerebral lithium distribution in patients with bipolar disorder: a Lithium-7 magnetic resonance imaging study at 7 Tesla
Proceedings of the ESMRMB 2019, Rotterdam, Netherlands, S12.O4.
2018
Articles
Kerker Effect in Ultrahigh-Field Magnetic Resonance Imaging
Physical Review X. 2018 Sept;8:3. doi: 10.1103/physrevx.8.031083.
Simultaneous multi-parametric mapping of total sodium concentration, T(1), T(2) and ADC at 7 T using a multi-contrast unbalanced SSFP
Magn Reson Imaging. 2018 Nov;53:156-163. doi: 10.1016/j.mri.2018.07.012.
Design of universal parallel-transmit refocusing k(T) -point pulses and application to 3D T(2) -weighted imaging at 7T
Magn Reson Med. 2018 Jul;80(1):53-65. doi: 10.1002/mrm.27001.
B(1) artifact reduction in abdominal DCE-MRI using k(T) -points: First clinical assessment of dynamic RF shimming at 3T
J Magn Reson Imaging. 2018 Jun;47(6):1562-1571. doi: 10.1002/jmri.25908.
Compressed perovskite aqueous mixtures near their phase transitions show very high permittivities: New prospects for high-field MRI dielectric shimming
Magn Reson Med. 2018 Mar;79(3):1753-1765. doi: 10.1002/mrm.26771.
Fast and unconditionally safe in vivo MR head protocol for home-made coil prototype assessment at 7T
J. Phys.: Conf. Ser. 1092 012159. 2018. Open access : https://iopscience.iop.org/article/10.1088/1742-6596/1092/1/012159.
Conference proceedings
Design of universal parallel-transmit refocusing kT-point pulses and application.
Proceedings of the ISMRM 2018, Paris, France, p1128.
Distribution-controlled and optimally spread non-Cartesian sampling curves for accelerated in vivo brain imaging at 7 Tesla.
Proceedings of the ISMRM 2018, Paris, France, p2666.
Evaluation of a new long-lasting Silicon Carbide based dielectric pad for ultra-high field MRI.
Proceedings of the ISMRM 2018, Paris, France, p2664.
kT-spokes: combining kT-points with spokes to ease ramp pulse design for TOF slab selection with parallel transmission.
Proceedings of the ISMRM 2018, Paris, France, p2690.
Z-segmentation of a transmit array head coil improves RF ramp pulse design for TOF MRA at 7T.
Proceedings of the ISMRM 2018, Paris, France, p3398.
RF-Induced Potential False-Negative Lesion in Breast T2-weighted MRI at 3T: Exploration of a Single-Channel kT-Points Solution.
Proceedings of the ISMRM 2018, Paris, France, p4339.
KT-Points Pulses Reduce B1 Shading at 3T: Demonstration in Routine Abdominal DCE-MRI and Evaluation of Reliability.
Proceedings of the ISMRM 2018, Paris, France, p2689.
A fast quality assessment and follow-up of transmit and receive coil paths
Proceedings of the ISMRM 2018, Paris, France, p4221.
In vivo investigation of lithium brain distribution in bipolar patients using 7Li MRI.
Proceedings of the ISMRM 2018, Paris, France, p626.
The travelling pulses: multicenter evaluation of universal pulses at 7T.
Proceedings of the ISMRM 2018, Paris, France, p1133.
Combining MR-Acoustic radiation force and temperature imaging with simultaneous multislice imaging during MR guided HIFU procedures
12th Interventional MRI Symposium 2018, Boston, USA,
2017
Articles
3D imaging of the brain morphology and connectivity defects in a model of psychiatric disorders: MAP6-KO mice
Sci Rep. 2017 Sep 4;7(1):10308. doi: 10.1038/s41598-017-10544-2.
Homogeneous non-selective and slice-selective parallel-transmit excitations at 7 Tesla with universal pulses: A validation study on two commercial RF coils
PLoS One. 2017 Aug 21;12(8):e0183562. doi: 10.1371/journal.pone.0183562.
New method to characterize and correct with sub-µs precision gradient delays in bipolar multispoke RF pulses
Magn Reson Med. 2017 Dec;78(6):2194-2202. doi: 10.1002/mrm.26614.
Stacked magnetic resonators for MRI RF coils decoupling
J Magn Reson. 2017 Feb;275:11-18. doi: 10.1016/j.jmr.2016.11.012.
In vivo demonstration of whole-brain multislice multispoke parallel transmit radiofrequency pulse design in the small and large flip angle regimes at 7 Tesla
Magn Reson Med. 2017 Sep;78(3):1009-1019. doi: 10.1002/mrm.26491.
Conference proceedings
Multi-Parametric Maps From Multi-contrasts Steady-State Sequences on Multiple Manufacturers and Fields.
Proceedings of the ESMRMB 2017, Barcelona, Spain, p456.
Whole-brain multi-slice multi-spoke parallel transmit RF pulse design in the large flip angle regime at 7 Tesla.
Proceedings of the ISMRM 2017, Honolulu, USA, p388.
New method to characterize and correct with sub-µs precision gradient delays in bipolar multi-spoke RF pulses.
Proceedings of the ISMRM 2017, Honolulu, USA, p1328.
Validation of the universal pulse concept at 7 Tesla on the Nova 8Tx/32Rx head coil with parallel transmit kT-point RF pulses.
Proceedings of the ISMRM 2017, Honolulu, USA, p1329.
SPARKLING: Novel Non-Cartesian Sampling Schemes for Accelerated 2D Anatomical Imaging at 7T Using Compressed Sensing.
Proceedings of the ISMRM 2017, Honolulu, USA, p1529.
Simultaneous multi-parametric and quantitative estimation of 23Na physical properties at 7 Tesla using QuICS.
Proceedings of the ISMRM 2017, Honolulu, USA, p5627.
Optimization via Ultra-high Permittivity Materials of Pad Effects in Dielectric Shimming at 7 Tesla MRI.
Proceedings of the ISMRM 2017, Honolulu, USA, p2674.
Double-Spoke Slab-Selective Ramp Pulse Design for UHF TOF MR Angiography.
Proceedings of the ISMRM 2017, Honolulu, USA, p1319.
SAR-Constrained kT-Points Pulse Design Applied to B1 Inhomogeneity Mitigation in the Human Abdomen at 3T.
Proceedings of the ISMRM 2017, Honolulu, USA, p4830.
First Clinical Assessment of kT-Points Dynamic RF Shimming on Abdominal DCE-MRI with a Commercial 3T MRI scanner.
RSNA 2017, Chicago IL, USA.
2016
Articles
Signal-domain optimization metrics for MPRAGE RF pulse design in parallel transmission at 7 tesla
Magn Reson Med. 2016 Nov;76(5):1431-1442. doi: 10.1002/mrm.26043.
Conference proceedings
31P MR Imaging and Concentration Measurements.
Proceedings of the ISMRM 2016, Singapore, Singapore, p3944.
Signal-domain optimization metrics for MPRAGE RF pulse design in parallel.
Proceedings of the ISMRM 2016, Singapore, Singapore, p4272.
Microscopic DTI for Quantitative Tractography of MAP6-KO Mice: Validation by Fluorescent Microscopy on Cleared Brains.
Proceedings of the ISMRM 2016, Singapore, Singapore, p124.
Simultaneous multiparametric quantitative extraction at 7T using QuICS.
Proceedings of the ESMRMB 2016, Vienna, Austria, p272.
2015
Articles
Microtubule-associated protein 6 mediates neuronal connectivity through Semaphorin 3E-dependent signalling for axonal growth
Nat Commun. 2015 Jun 3;6:7246. doi: 10.1038/ncomms8246.
Conference proceedings-
Slice profile corrections in the XFL (magnetization-prepared turbo-FLASH) B1-mapping sequence.
Proceedings of the ISMRM 2015, Toronto, Canada, p2377.
31P MRI Transmission (B1+), Sensitivity (B1-) and T1 Mapping at Ultra High Magnetic Field.
Proceedings of the ESMRMB 2015, Edinburg, Scotland, p67.
2014
Conference proceedings
Reception Sensitivity Inhomogeneity Correction at Ultra High Field Using a Fast Gradient Echo Sequence.
Proceedings of the ISMRM 2014, Milan, Italy, p1642.
2013
Articles
A simulation tool for dynamic contrast enhanced MRI
PLoS One. 2013;8(3):e57636. doi: 10.1371/journal.pone.0057636.
Conference proceedings
Microscopic 3D-DTI of Tumor Cell Migration, Numerical Modeling and Two-Photon Microscopic Imaging.
Proceedings of the ISMRM 2013, Salt Lake City, USA, p83.
White-matter deficit detection by microscopic 3D-DTI: application to STOP null mouse - an animal model of schizophrenia.
Proceedings of the ESMRMB 2013, Toulouse, France, p379.
Numerical models of brain microstructures and Monte-Carlo simulations of NMR diffusion: comparison to data from animal models.
Proceedings of the ESMRMB 2013, Toulouse, France, p22.
2012
Articles
Biodiversity as a barrier to glioma cell invasion
Med Hypotheses. 2012 Apr;78(4):459-61. doi: 10.1016/j.mehy.2012.01.005. Epub 2012 Feb 1.
Diffusion tensor imaging of diffuse axonal injury in a rat brain trauma model
NMR Biomed. 2012 Jan;25(1):93-103. doi: 10.1002/nbm.1721. Epub 2011 May 25.
Conference proceedings
How the Spatial Distribution of the Vessels Affects T2*? a 2D Simulation Study.
Proceedings of the ISMRM 2012, Melbourne, Australia, p1957.
2011
Articles
Reduced brain edema and functional deficits after treatment of diffuse traumatic brain injury by carbamylated erythropoietin derivative
Crit Care Med. 2011 Sep;39(9):2099-105. doi: 10.1097/CCM.0b013e31821cb7b2.
Conference proceedings
Can We Separate the Contributions of Permeability & Diffusion of Contrast Agent? A Simulation Study.
Proceedings of the ISMRM 2011, Montréal, Canada, p792.
White Matter Quantification in a Model of Schizophrenia Mice using Microscopic Diffusion Tensor Imaging.
Proceedings of the ISMRM 2011, Montréal, Canada, p2071.
Does R2* Increase or Decrease When Contrast Agent Extravasates? A Simulation Study.
Proceedings of the ISMRM 2011, Montréal, Canada, p3916.
Brain tumor infiltration in a novel human glioblastoma stem cell model as detected by diffusion tensor imaging
Bulletin du Cancer 2011, 98:S68-S68.
2010
Conference proceedings
In Vivo DTI Parameter Choice Using Monte-Carlo Diffusion Simulations in a Model of Brain White Matter.
Proceedings of the ISMRM 2010, Stockholm, Sweden, p4030.
2009
Conference proceedings
Simulations of water diffusion in a model of brain white matter: optimal
Proceedings of the ESMRMB 2009, Antalya, Turkey, p743.
2007
Conference proceedings
Time-Of-Flight Imaging of Hyperpolarized Gas Flows in the Human Airways at True Temporal Resolution Lower Than 10 Ms.
